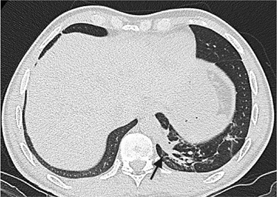
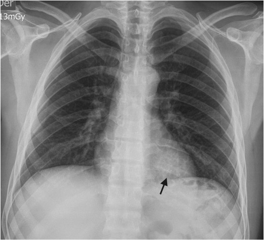
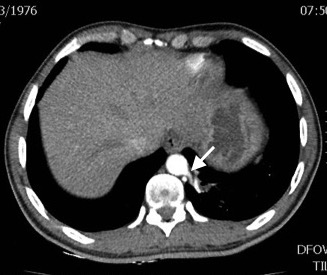
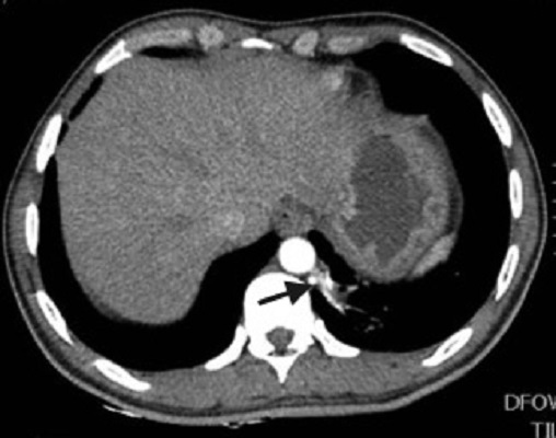
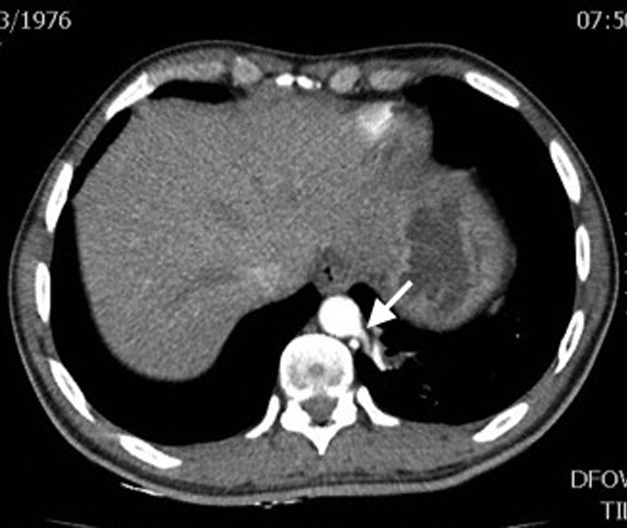
Paciente de 39 años con antecedente de Síndrome de Tolosa Hunt, quien ingresa al servicio de urgencias por disminución de la agudeza visual y cefalea. Dado el antecedente se considera realizar estudios complementarios para descartar enfermedad granulomatosa, como causa del síndrome, encontrando hallazgos incidentales en las imágenes del tórax. El secuestro pulmonar es una anomalía congénita caracterizada por tejido pulmonar displasico, sin conexión normal con la vía aérea, irrigado por la circulación arterial sistémica. Hay dos tipos de secuestros, el intralobar y el extralobar. El intralobar (75%), puede ser congénito o adquirido como secuela de infecciones recurrentes localizadas, está cubierto por pleura del pulmón normal adyacente y generalmente su drenaje venoso es a través del sistema venoso pulmonar ipsilateral. El secuestro extralobar (25%), es considerado una anomalía congénita, está revestido por su propia pleura y su drenaje venoso es sistémico. Tanto el secuestro intralobar como extralobar reciben suplencia arterial sistémica. En los estudios de imágenes, el secuestro se puede presentar como consolidación focal, nódulo o masa, de localización paravertebral, contiguo al hemidiafragma, en los lóbulos inferiores (segmento posterior), con mayor frecuencia en el lado izquierdo (98%) y con una suplencia arterial anómala dada por una o múltiples ramas (15%) generalmente de la aorta torácica y su drenaje puede ser al sistema venoso pulmonar y con menor frecuencia a la circulación sistémica.
Referencias
1. Watarai F, Takahashi M, Hosoya T, Murata K. Congenital lung abnormalities: a pictorial review of imaging findings. Jpn J Radiol 2012; 30:787-797.2. Trotman-Dickenson B. Congenital Lung Disease in the Adult Guide to the Evaluation and Management. J Thorac Imaging 2015;30:46-59.3. Thacker PG, Schoolr GR, Caplan MJ, Lee EY. Developmental Lung Malformations in Children Advances in Imaging Techniques. Classification System and Imaging Findings. J thorac Imaging 2015;30:29-45.