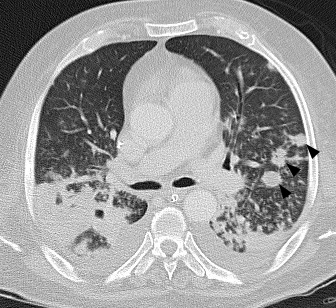
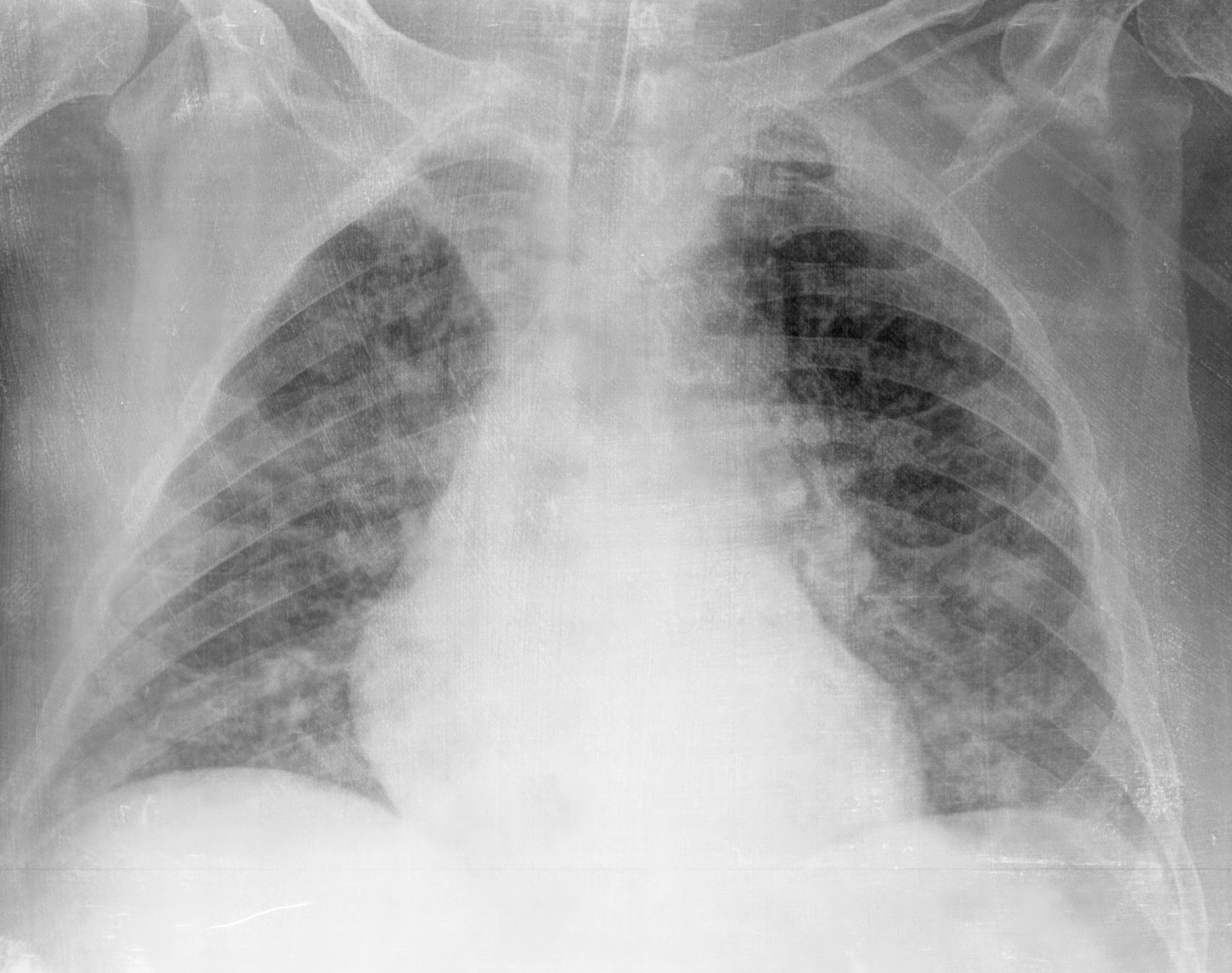
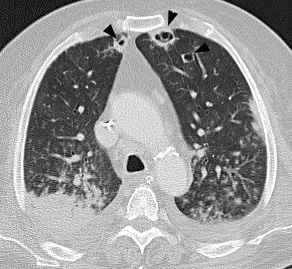
Paciente masculino de 70 años de edad con EPS asociada a artritis de cadera derecha por Staphylococcus aureus meticilino-resistente.La embolia pulmonar séptica (EPS) se define como la presencia de trombos sépticos en la circulación pulmonar provenientes de un foco infeccioso extrapulmonar. La obstrucción del flujo en vasos de pequeño calibre (secundaria a la presencia de émbolos infecciosos en la luz del vaso), puede condicionar el desarrollo de infartos y abscesos pulmonares.Las entidades asociadas a EPS son de naturaleza variada e incluyen: infecciones asociadas a dispositivos intravasculares, endocarditis infecciosa, abscesos hepáticos, infecciones en piel y tejidos blandos, tromboflebitis séptica, síndrome de Lemierre e infección periodontal. Los microorganismos aislados con mayor frecuencia son: cocos gram positivos (Staphylococcus aureus, Staphylococcus coagulasa negativo, Streptococcus spp.) y bacilos gram negativos (Fusobacterium, Klebsiella pneumoniae).Las manifestaciones clínicas de EPS son inespecíficas (fiebre, disnea, tos, dolor torácico pleurítico y hemoptisis).Las alteraciones en los estudios de imágenes son esenciales en el diagnóstico de EPS.En la radiografía de tórax de pacientes con EPS se describen opacidades nodulares, consolidación, lesiones cavitadas y derrame pleural.La tomografía computarizada (TC) es la imagen de mayor utilidad en la valoración de pacientes con sospecha de EPS. Las manifestaciones de EPS en TC se describen en la Tabla 1.
Referencias1. Lee S, Cha S, Kim C, Park J, Jung T, Kim G, et al. Septic pulmonary embolism in Korea: Microbiology, clinicoradiologic features, and treatment outcome. Journal Of Infection [serial on the Internet]. (2007, Mar 1), [cited June 29, 2016]; 54230-234. Available from: ScienceDirect.
2. Ye R, Zhao L, Wang C, Wu X, Yan H. Clinical characteristics of septic pulmonary embolism in adults: a systematic review. Respiratory Medicine [serial on the Internet]. (2014, Jan), [cited June 29, 2016]; 108(1): 1-8. Available from: MEDLINE.
3. Cook R, Ashton R, Aughenbaugh G, Ryu J. Clinical Investigations: Septic Pulmonary Embolism. Presenting Features and Clinical Course of 14 Patients. Chest [serial on the Internet]. (2005, July 1), [cited June 29, 2016]; 128162-166. Available from: ScienceDirect.